
|
ติดต่อเรา 156 หมู่ 3 ตำบลดอนมูล อำเภอสูงเม่น จังหวัดแพร่ 54130 โทร. 054-631-338 มือถือ 08-7189-4338 Email: info@donmoonfarm.com Last updated: 21 June 2014 09:24 AM
|
ยินดีต้อนรับเข้าสู่หน้าพัฒนาการของการเป็นสัดของ
Hillary Elite House
ผู้ที่สนใจสามารถที่จะศึกษาเพื่อเข้าใจถึงพัฒนาการในระยะต่าง
ๆ
ของการเป็นสัดของสุนัขซึ่งแบ่งออกเป็น
4 ช่วง คือ ระยะก่อนการเป็นสัด
Proestrus ซึ่งมีระยะเวลาประมาณ
9 วัน
นับตั้งแต่วันที่อวัยวะเพศบวมและมีเลือดออกมาจากอวัยวะเพศ
แต่แม่สุนัขยังไม่ยอมให้สุนัขเพศผู้ผสม
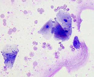
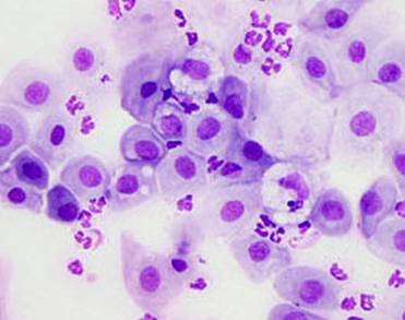
เซลในเยื่อบุช่องคลอดจะมีหลายประเภทคละกัน
จำแนกเป็น 2 ระยะ คือ
ช่วงเริ่มต้นระยะของ Proestrus
และช่วงหลังของระยะ Proestrus
ระยะของการเป็นสัด
Estrus ซึ่งมีระยะเวลาประมาณ
9 วัน
แม่สุนัขยอมให้สุนัขเพศผู้ผสม
โดยการเบี่ยงหาง
ยืนนิ่งให้สุนัขตัวผู้ผสมพันธุ์
Standing and Flagging
เซลในเยื่อบุช่องคลอดจะมีประเภท
superficial cell 90% - 100% สีเลือดที่อวัยวะเภทเริ่มจางและออกน้อยลง
นับเป็นช่วงที่ไข่ตก เมื่อเรารู้ว่าจะมีการตกไข่เมื่อใดก็เป็นการง่ายที่จะกำหนดวันผสมพันธุ์
โดยทั่วไปนิยมผสมพันธุ์สุนัขภายหลังวันไข่ตก
1-2
วัน
และควรผสมซ้ำวันเว้นวัน (24
48 ชั่วโมง) เนื่องจากไข่ที่ตกจะมีการเปลี่ยนแปลงเพื่อให้พร้อม
(ไข่สุก)
ที่จะผสมกับตัวอสุจิซึ่งต้องใช้เวลาอีกประมาณ
2-5 วัน
ด้วยเหตุและผลที่กล่าวมานี้
ผู้ผสมพันธุ์สุนัขสามารถใช้เป็นแนวทางในการกำหนดวันผสมพันธุ์ให้ประสบผลสำเร็จ
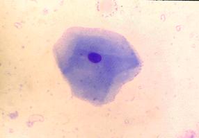
เซลระยะของการเป็นสัด
Estrus ระยะหลังการเป็นสัด Diestrus จะมีระยะเวลาประมาณ 60 วัน ระดับฮอร์โมน Progesterone จะลดต่ำลง แม่สุนัขหยุดการให้สุนัขเพศผู้ผสม มีเมือกออกเล็กน้อย อวัยวะเพศลดการบวมลง
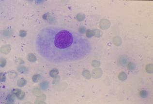
เซลระยะหลังการเป็นสัด
Diestrus ลักษณะของเซลชนิดต่าง
ๆ
จากวงรอบของการเป็นสัดในครั้งก่อน ๆ เราทราบคร่าว ๆ ว่า Hillary จะเป็นสัดประมาณช่วงต้นปี 2555 เราจึงเตรียมความพร้อมเสำหรับการผสมเทียมของ Hillary Elite House ด้วยการตรวจสุขภาพ ฉีดวัคซีนป้องกันทุกโรค ตรวจระบบเลือด เมื่อปลายเดือนพฤศจิกายน 2554 และถ่ายพยาธิ์ในสัปดาห์ที่ 3 ของเดือนมกราคม 2555 นี่คือสิ่งที่เราได้เตรียมความพร้อมก่อนการผสมพันธุ์สำหรับคู่ผสมพันธุ์ที่เราใฝ่ฝัน รายละเอียดของคู่ผสมพันธุ์ เมื่อวันที่ 2 กุมภาพันธ์ เราสังเกตุเห็นมีเมือกซึมออกมาจากอวัยวะเพศของ Hillary ซึ่งเป็นสิ่งบอกเหตุของการเริ่มเป็นสัดในช่วงเริ่มต้นของระยะก่อนการเป็นสัด Proestrus อีก 2 วันต่อมา คือวันที่ 4 กุมภาพันธ์ เราเห็นเลือดซึมออกมาในตอนเช้าทางอวัยวะเพศ เราเริ่มนับวันนี้เป็นวันที่ 1 ของการระยะก่อนการเป็นสัด Proestrus และวันที่ 8 กุมภาพันธ์ ซึ่งนับเป็นวันที่ 5 ของการระยะก่อนการเป็นสัด Proestrus เราเริ่มทำการตรวจเซลบุช่องคลอด โดยเทคนิค Vaginal smear เพื่อนำไปส่องดูชนิดของเซลด้วยกล้องจุลทรรศน์ ซึ่งจะทำทุกวันร่วมกับการเจาะเลือดหาระดับฮอร์โมน Progesterone ในวันที่ 10 ซึ่งนับเป็นวันที่ 5 ของระยะก่อนการเป็นสัด Proestrus และเจาะซ้ำอีกทุก 2 - 3 วัน เพื่อหาวันที่ไข่ตก Ovulation และทำทั้ง 2 วิธีต่อเนื่องจนถึงการผสมพันธุ์ ขุดภาพแสดงพัฒนาการของการเป็นสัดของ
Hillary Elite House
ในวันที่ 10 กุมภาพันธ์ 2555 นับเป็นวันที่ 7 ในการเป็นสัด เราได้ทำการเจาะเลือดหาระดับฮอร์โมน Progesterone มีค่า 0.82 ng/ml.
ในวันที่ 13
กุมภาพันธ์ 2555 นับเป็นวันที่
10 ในการเป็นสัด
เราได้ทำการเจาะเลือดหาระดับฮอร์โมน
Progesterone มีค่า 1.43 ng/ml. ในวันที่ 15 กุมภาพันธ์ 2555 นับเป็นวันที่ 12 ในการเป็นสัด เราได้ทำการเจาะเลือดหาระดับฮอร์โมน Progesterone มีค่า 2.00 ng/ml. คาดว่าอีกประมาณ 3 วัน คือในวันที่ 18 กุมภาพันธ์ 2555 ไข่คงเริ่มตก (ระดับฮอร์โมน Progesterone คงมีค่าประมาณ 4 - 10 ng/ml.) เราได้ทำการผสมเทียมเมื่อวันที่
20 กุมภาพันธ์ 2555
ระดับฮอร์โมนโปรเจสเตอร์โรน
มีค่า 27.4 ng/ml.
ยังมีงานอีกมากมายที่เราต้องทำในระหว่างตั้งท้องและหลังคลอด ตลอดจนถึงหย่านม เพื่อให้ลูกสุนัขมีจิตประสาทมั่นคง โครงสร้างดี มีสมอง The show must go on! ........We'll keep on updating regularly. |
|||||||